Serving Temecula and Hemet with a caring team, flexible options, and results you’ll want to show off.
Lives Change Here
Simple. Friendly.
Stunning Smiles.

We provide advanced Invisalign® clear aligners to help children, teens, and adults achieve straighter smiles in comfort!
Why Families Choose Us
Friendly Care, Modern Tech, Amazing Smiles
We blend experience with the latest tools to deliver efficient, comfortable treatment. Expect honest guidance, flexible financing, and a cheering squad at every visit.


Why You’ll Love Us
What Sets Us Apart
We don’t just straighten teeth—we cheer on people. Expect expert care, clear communication, and a smooth, confidence-building experience from day one.
Specialist-Led Care
Your treatment is planned and monitored by dedicated orthodontists with deep experience in kids, teens, and adults.
Personal Plans, Real Results
Aligners or braces, clear or metal—we map the approach that fits your goals, timeline, and lifestyle.
Friendly Care, Modern Tech, Amazing Smiles
Comfort-First Technology
Gentle, modern tools and digital scans help us plan precisely—no goopy impressions, less guesswork, more comfort.
Clarity at Every Step
We explain options, timelines, and costs in plain English so you always know what’s next.
Flexible, Family-Friendly Scheduling
Easy appointments that work around school, work, and real life.
Expert Care, Big Heart
Your Orthodontists, Your Smile Team
We blend experience with the latest tools to deliver efficient, comfortable treatment. Expect honest guidance, flexible financing, and a cheering squad at every visit.
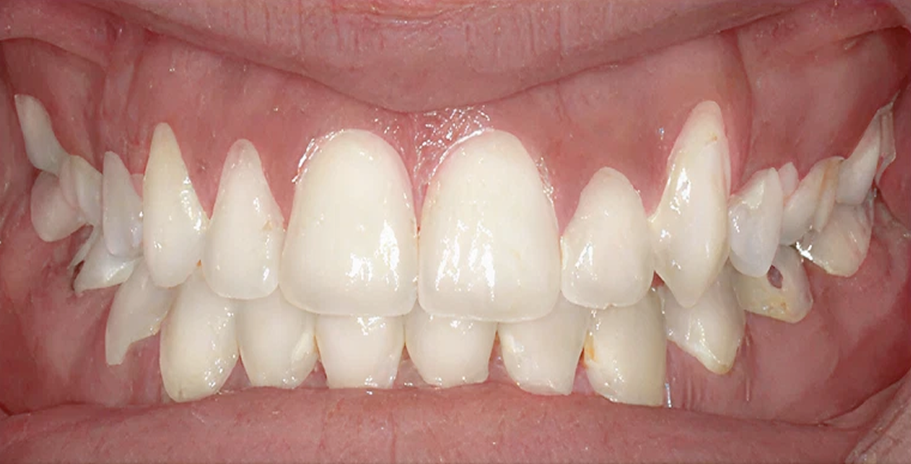
Real Patients. Real Results
Smiles We’re Proud Of
From subtle refinements to major transformations, every case is personal—and every reveal is priceless. Browse our gallery and imagine what’s possible.

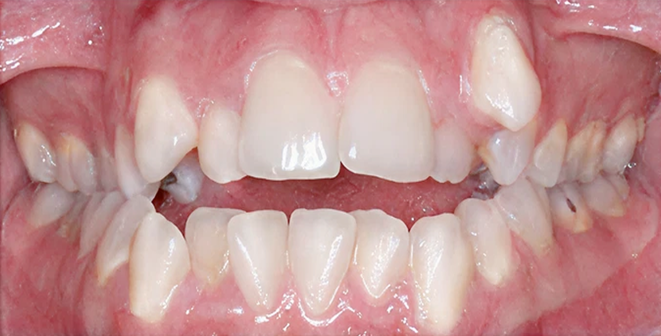
Real Patients. Real Results
Smiles We’re Proud Of
From subtle refinements to major transformations, every case is personal—and every reveal is priceless. Browse our gallery and imagine what’s possible.
Options for Every Smile
How We Help
From first scan to final retainer, we tailor your plan to fit real life—school runs, work meetings, sports, selfies, and everything in between.
Two Offices, One Happy Team
Temecula & Hemet Orthodontics
Same friendly faces, same modern care—choose the office that’s easiest for you. Call, text, or book online in a couple of taps.


Temecula


Hemet

Options for Every Smile
How We Help
From first scan to final retainer, we tailor your plan to fit real life—school runs, work meetings, sports, selfies, and everything in between.










